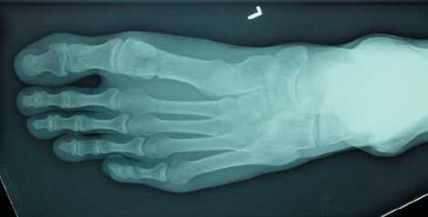
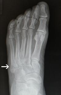
Six weeks ago yesterday, I broke my foot. Suffice to say, it was a learning experience, and the main lesson was, breaking your foot is terrible, don’t do it.
Here are some other things I’ve learned.
(Note: post contains X-rays of feet — I don’t know if anyone else out there has lifelong Issues with foot bones, but we thought we should give a heads-up just in case.)

- remember how, when we were kids, someone in our class would break a bone, and it was just a really cool time of writing on plaster and skipping school sports?
- turns out that it’s a lot easier to deal with a broken bone when you’re a child with few responsibilities and also adults who can drive you everywhere
- my home is so much less accessible than I assume when I can walk
- shower-baths are terrible ideas that should be eradicated from the earth
- Thomas Jefferson might have been the ultimate problematic shitlord, but he did invent the swivel chair and introduce Anglo-Saxons to macaroni and cheese, and for that I must be grateful
- on the other hand, a swivelly office chair on wheels is no substitute for an actual mobility aid
- it’s really, really difficult to use crutches when you have little-to-no upper body strength and also arthritic hands
- my cat cannot tell the difference between a plaster and a scratching post
- in fairness, he often uses my bare legs as scratching posts
- two-thirds of the spoons I usually reserve for Dealing With People Politely have been redirected to Healing
- so broken foot!Liz is petulant and whiney, and very grateful to those who put up with her

- after a week on crutches, a moon boot is a magical gift
- after a week in a moon boot, you will want to set it on fire
- is it the broken bone, the immobilisation or the moon boot itself that causes agonising muscle cramps?
- the important thing is that it is possible to apply so much Deep Heat that your cat will stop speaking to you
- (your leg will keep on hurting)
- googling “CAM boot causes muscle cramps” brings up no useful results
- time to train the cat to give massages
- in addition to the muscle pain, getting around will be so much effort, I am a dripping mess of sweat
- also my nails might have stopped growing for a few days?
- it’s hard to tell
- but then they definitely started growing again, and suddenly my nails are way too long, but I don’t have the spoons to get them done again
- (yes, I could do them myself, but I’m already a hot, sweaty mess wearing Docs — okay, one Doc — to work like it’s 1996, let’s at least attempt some kind of professional presentation)
- the best thing about the moon boot? I CAN EXFOLIATE MY FOOT
- like, apologies to the footphobic among us, but that was AMAZING
- people most likely to give up their seats on public transport: older women, boofhead teenagers
- people least likely to give up theirs seats: men
- after five weeks in the moon boot, the muscle cramps have mostly passed and you’re almost walking like a normal person
- then the doctor goes, “Okay, you can take that off now!” and suddenly you’re back to hobbling around with a walking stick
- I think my foot has forgotten how to be a foot
- it definitely used to be bendier
- there will come a day — probably in a week or so — when I can walk around more or less normally, and go whole hours without remembering my foot was broken
- I can’t wait
This post speaks to me on a very deep level. I’m glad your foot is healed and I hope it stays in that state for many years to come.
Thank you! When they bring out robot replacement feet, I plan to be the very first in line.
I feel much the same about uteruses.
i am glad your foot is so close to healing!